• فارسی
  • پشتو
  • العربیه
  • Русский
  • English
  • الثلاثاء, 23 يناير 2018
  • الرئيسية
  • أفغانستان
  • الشرق الأوسط
  • دولية
  • المجتمع
  • تحليل خاص
  • المرأة
  • الثقافة
  • العالم الأسلامي
  • أقتصاد
  • الصحة
  • فیدیو
  • الرياضة
انفلونزا الطيور يقتل 22 في الأكوادور المزيد

انفلونزا الطيور يقتل 22 في الأكوادور …

23 يناير 2018
الأمم المتحدة: اليمن بحاجة 2.96 مليار دولار مساعدات المزيد

الأمم المتحدة: اليمن بحاجة 2.96 مليار دولار مساعدات …

22 يناير 2018
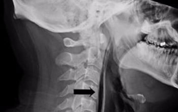
عطسة كسرت رقبة ثلاثيني في بريطانيا المزيد

عطسة كسرت رقبة ثلاثيني في بريطانيا …

17 يناير 2018
الصفحة 4 من 4«1234


Copyright © 2017 | تمام حقوق مادی و معنوی خبرگزاری خاورمیانه محفوظ است

طراحی و توسعه توسط TechSharks